Best dental clinic in noida

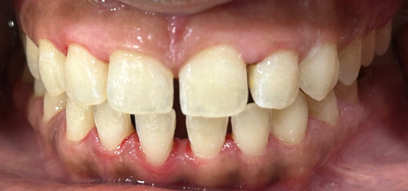
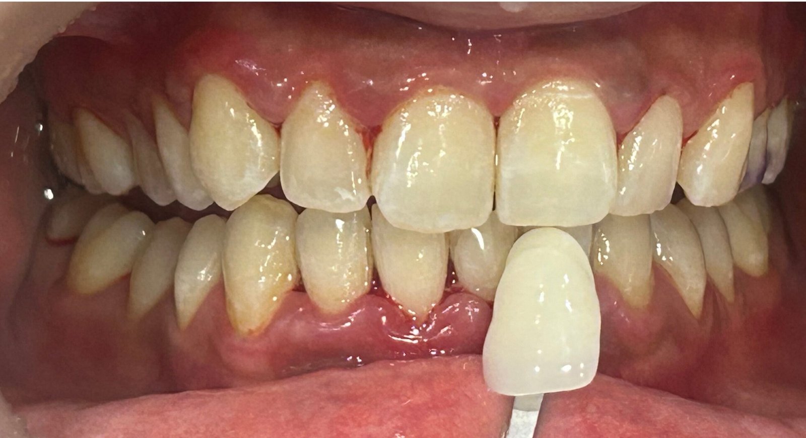
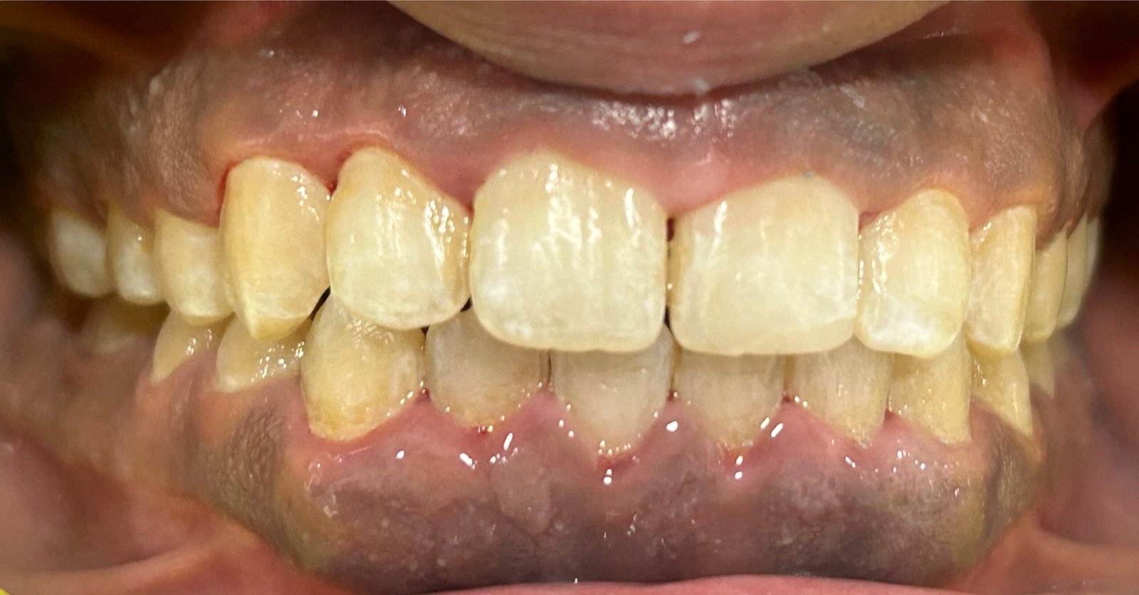
After
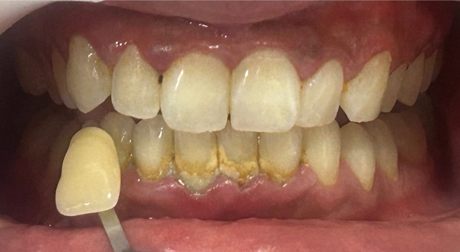
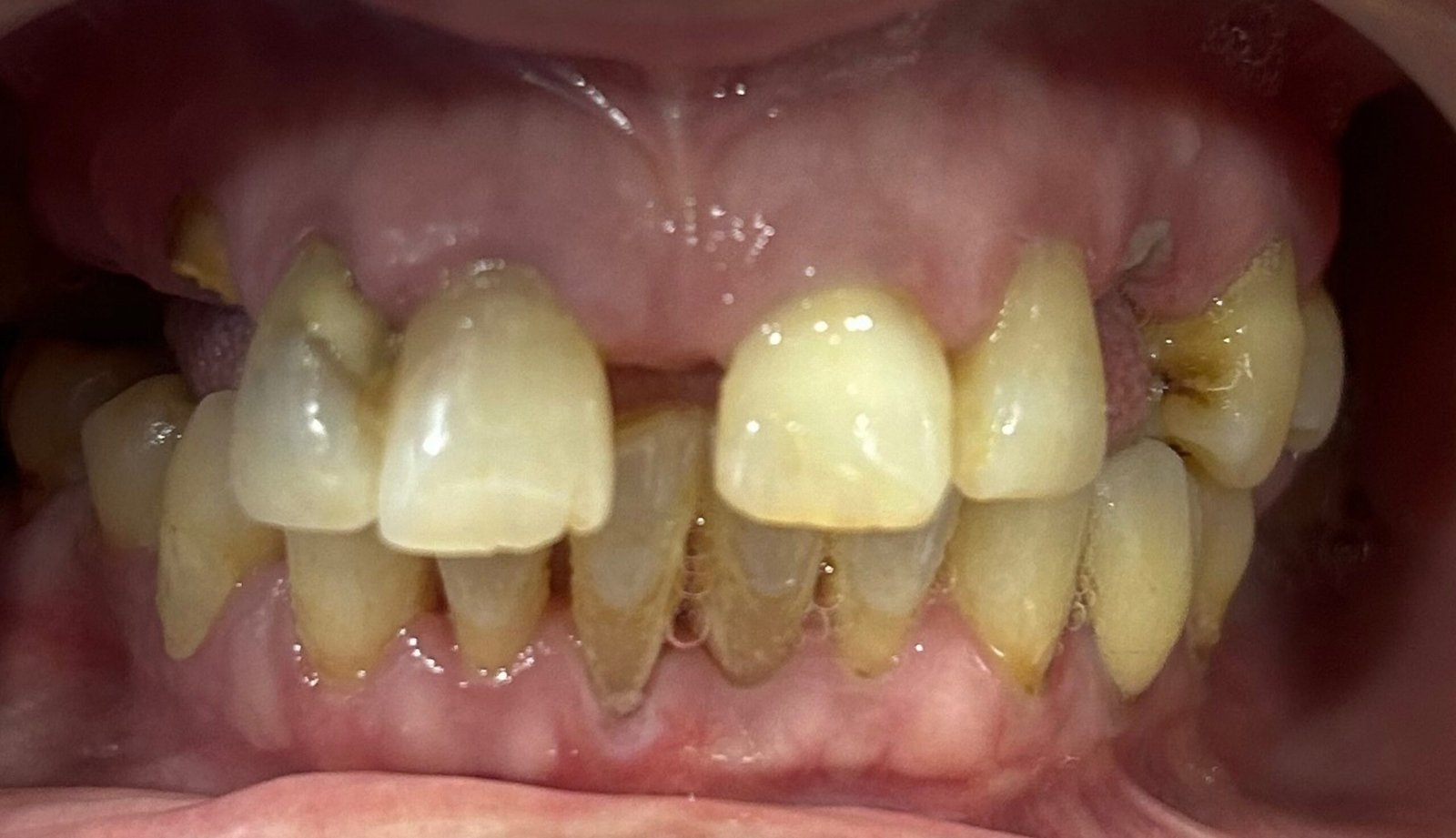
Before
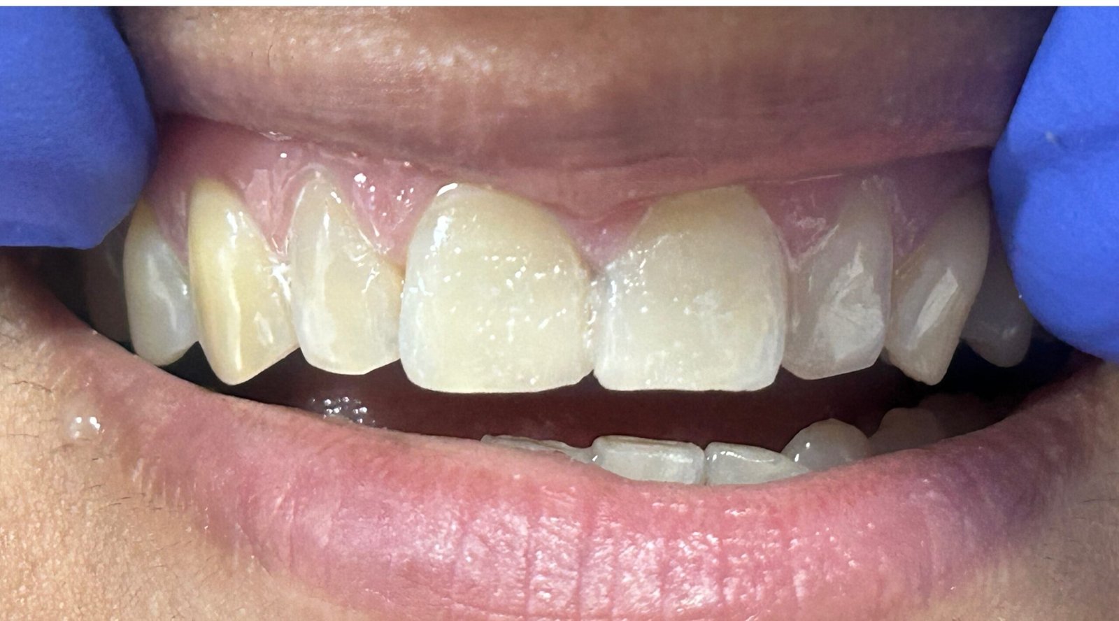
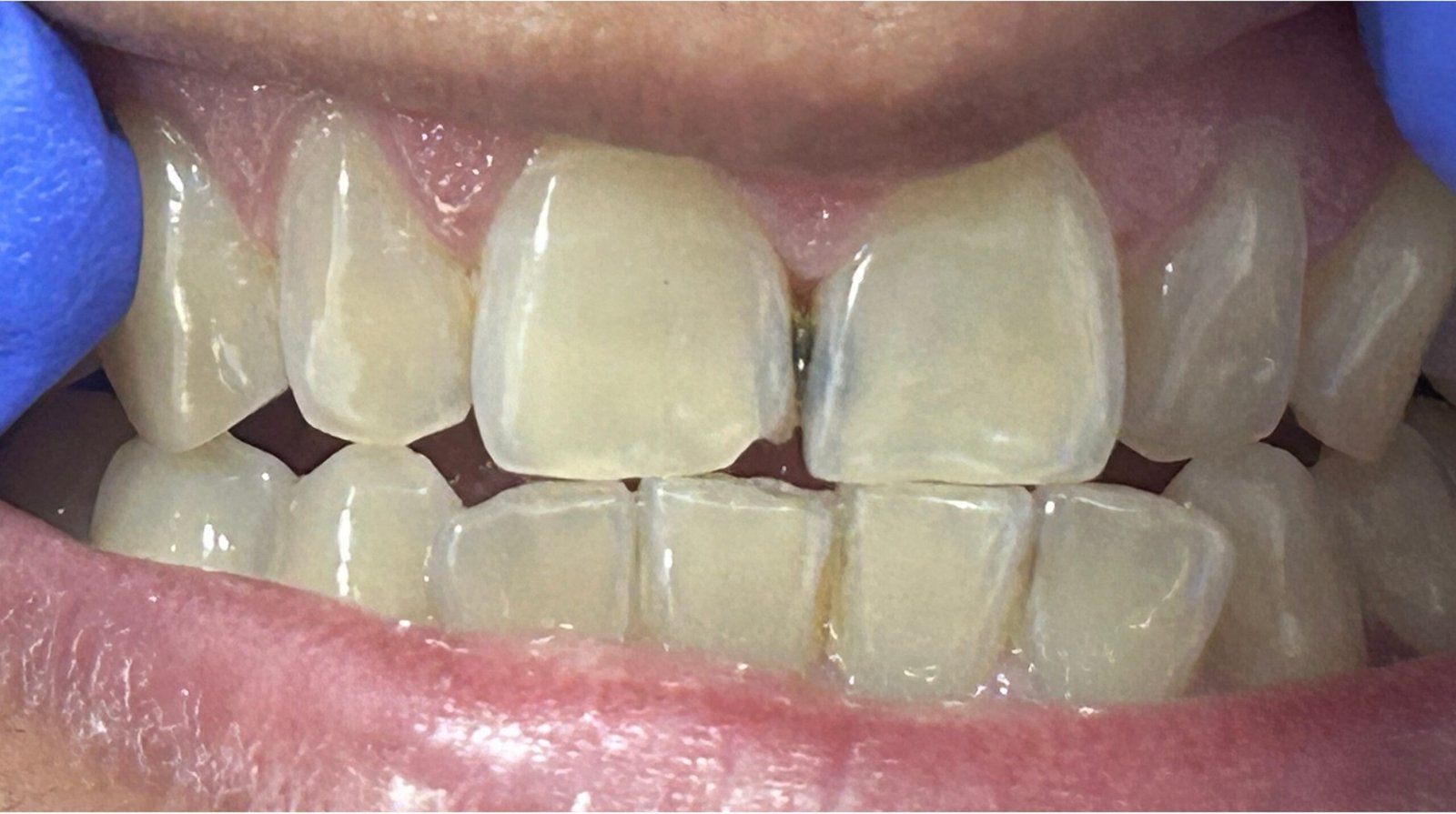
After
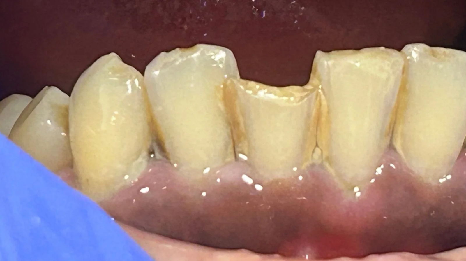
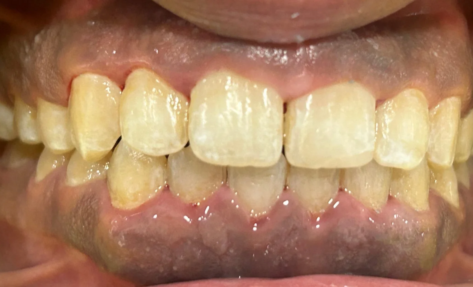
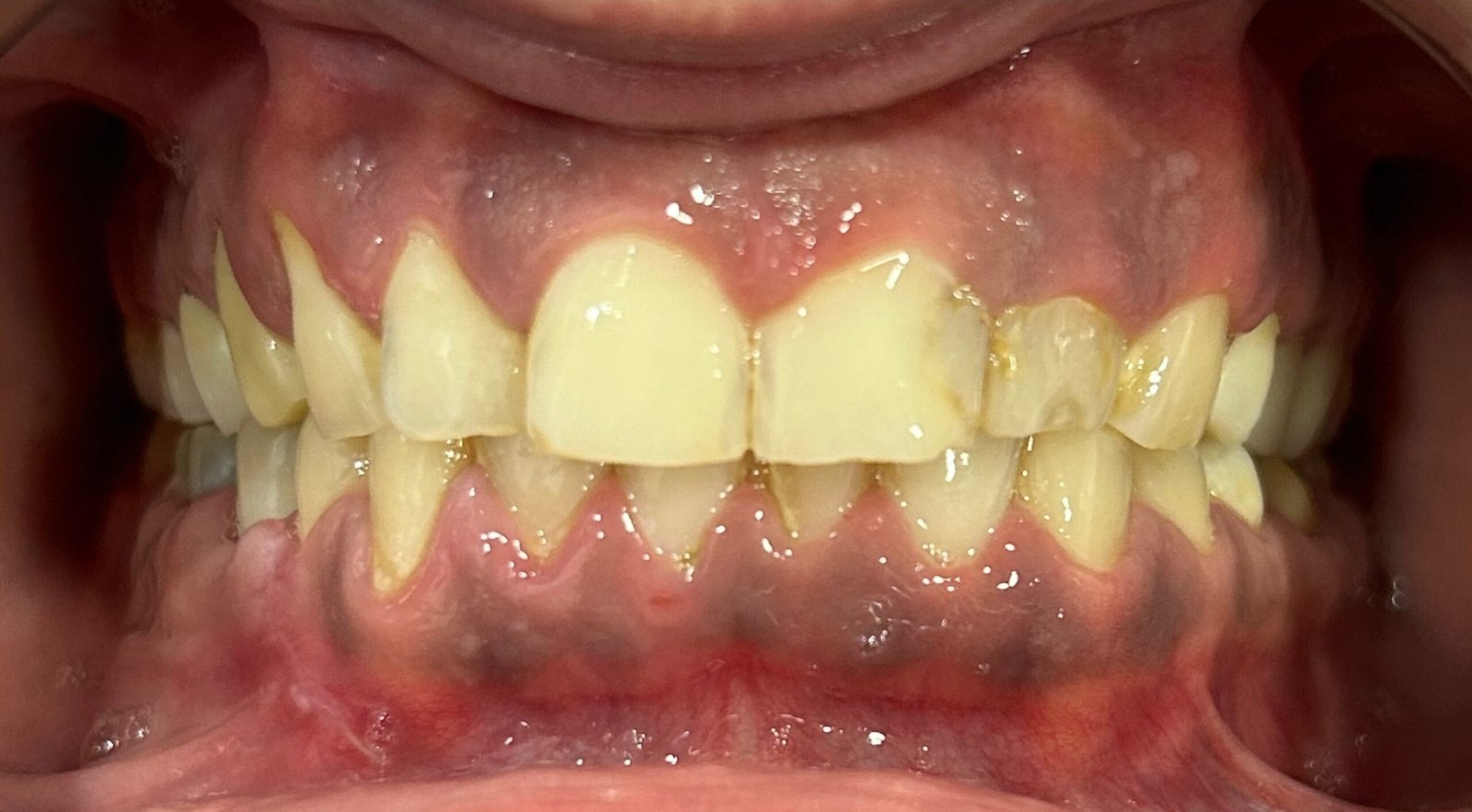
Before
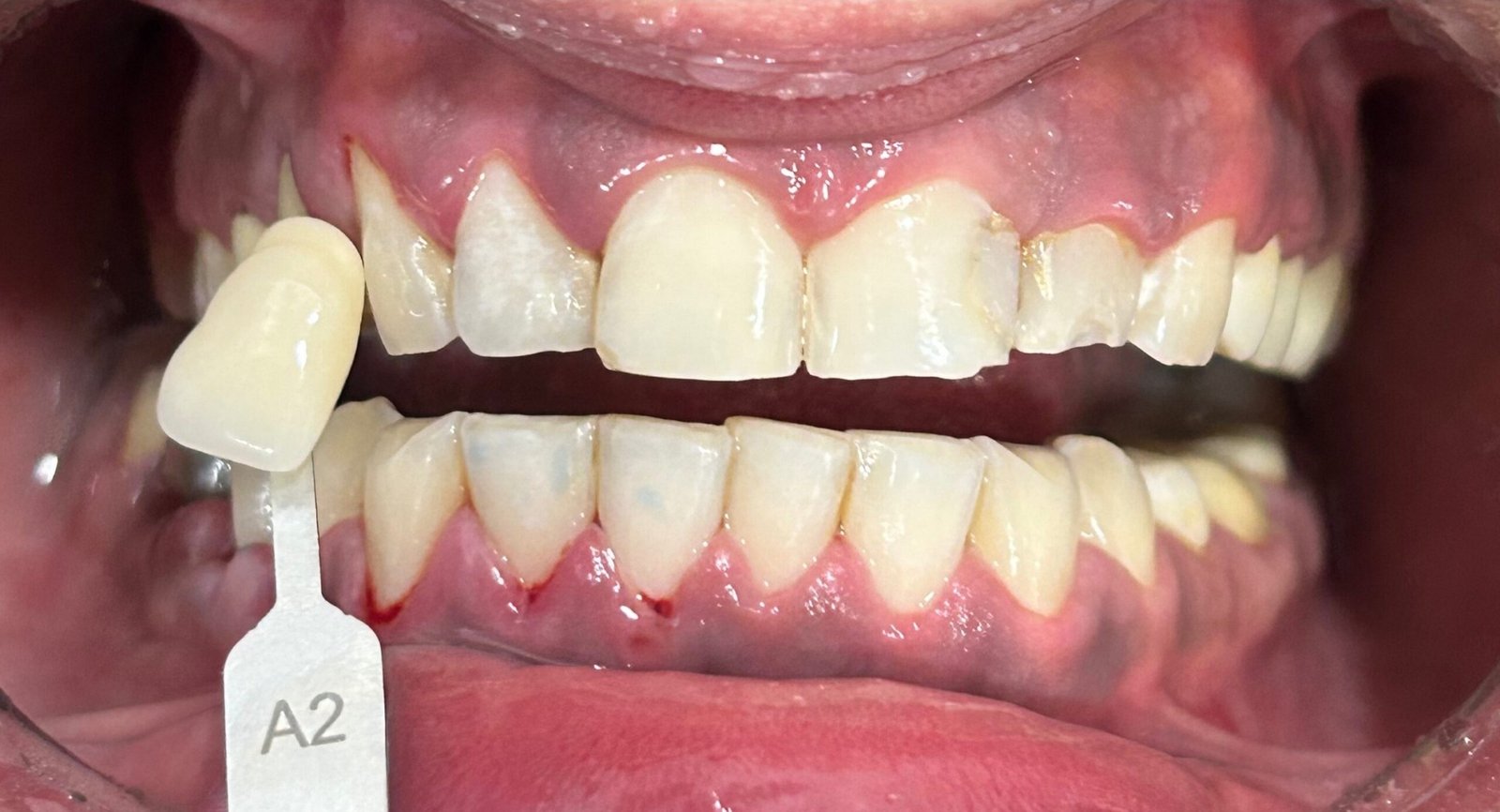
After
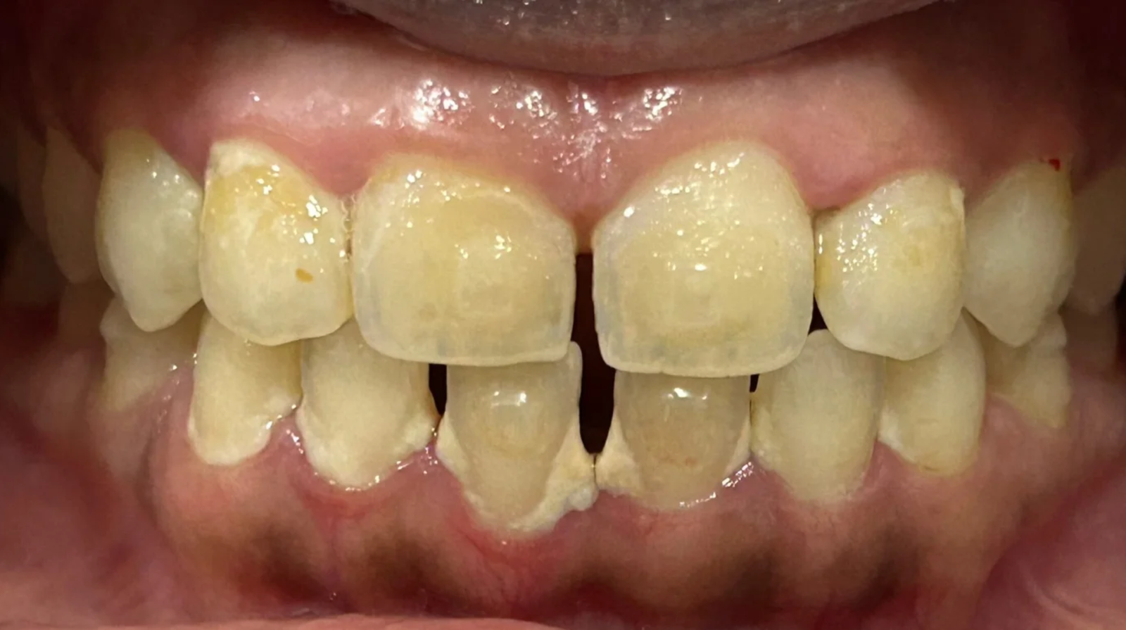
Before
After
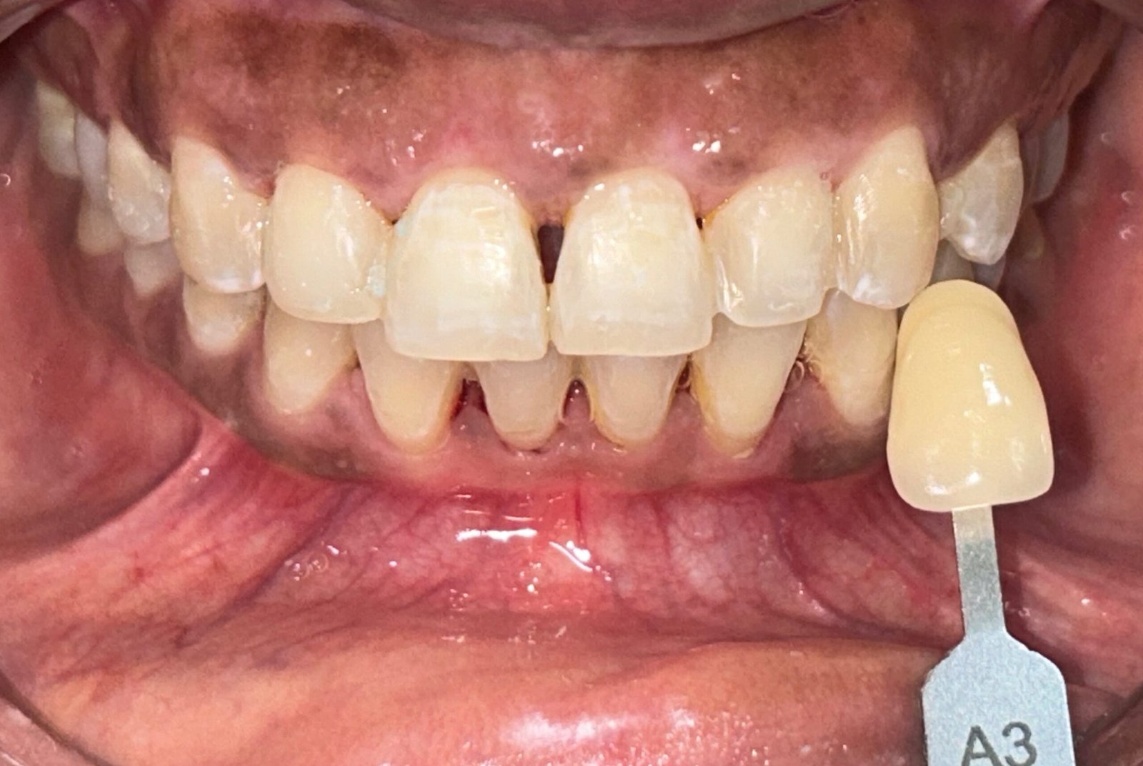
Before
After
Before
After
Before
After
Before
After
Before
After
Before
After
Before
After
Before
After
Before
Call Now Button